The following is sponsored content from Aspen Ridge Dental.
For years, Mary Ann dealt with her declining teeth: an uneven smile, broken teeth, constant dental treatment, gum recession and staining. She constantly dealt with jaw tension, occipital neuralgia (headache disorder at the back of the head), and smiled carefully in photos. The only problem was that she had no idea how her teeth were impacting her life. “I knew my teeth were worn down, but I didn’t realize the overall impact their decline had on my well-being.”
Mary Ann’s first visit to Aspen Ridge Dental was for a teeth whitening consultation. “I had so many dark stained areas on my teeth, especially the lower front ones that I wanted them brightened. I thought that that was all I needed.” Following the initial evaluation, Mary Ann recalls Dr. Emery not only validating that her teeth were stained, but also observed during her consultation that her chewing system was dysfunctional. “I didn’t know what that meant…’my chewing system was dysfunctional.’” He asked questions that aren’t typically asked by a dentist: Do you have headaches? Do you have discomfort in your neck or back? Do you constantly feel tired? Is there discomfort around your ears or temples? Mary Ann stated that she has had occipital neuralgia for years. It would come and go…but when it came, it was debilitating.
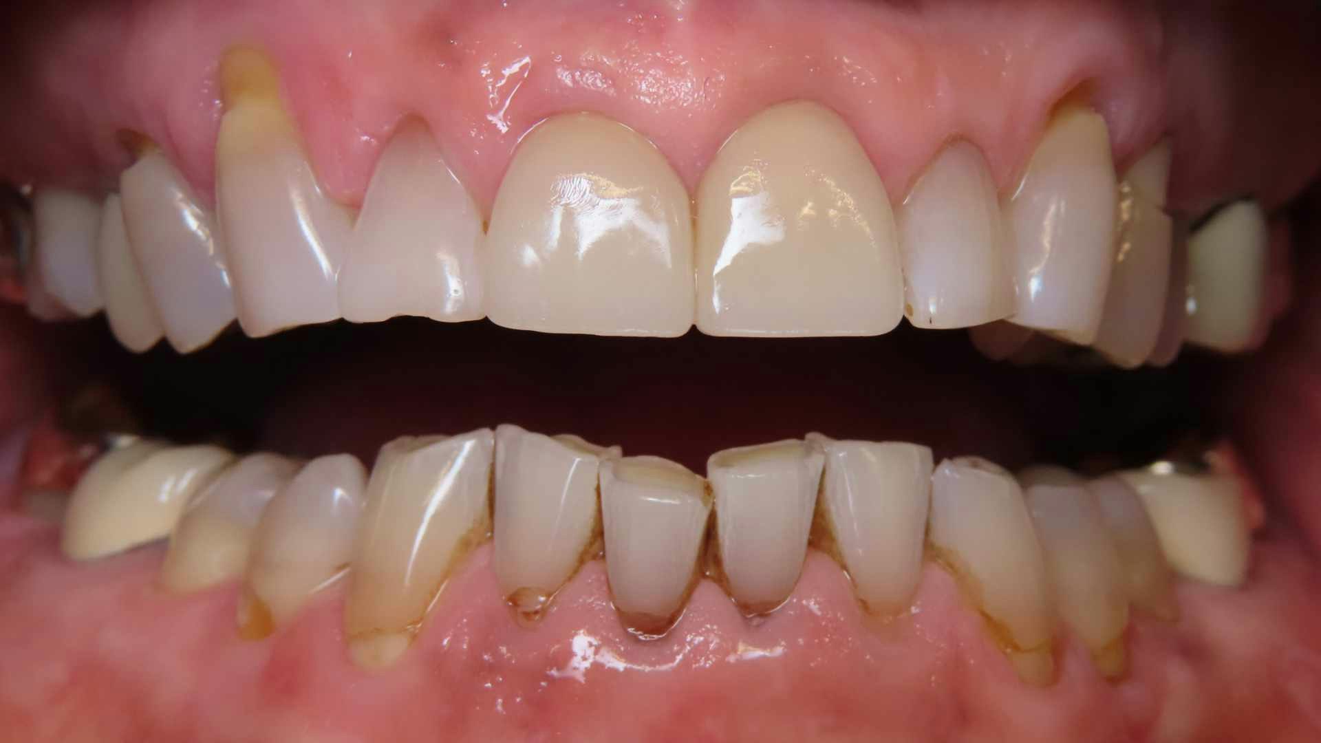
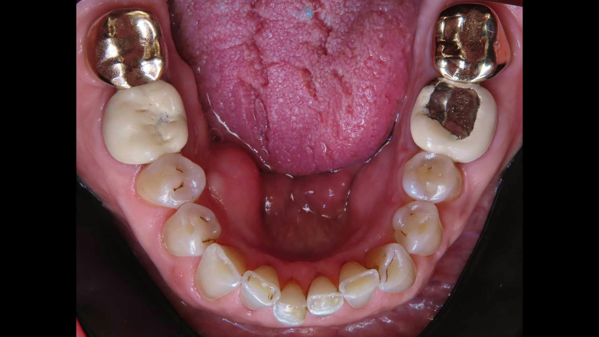
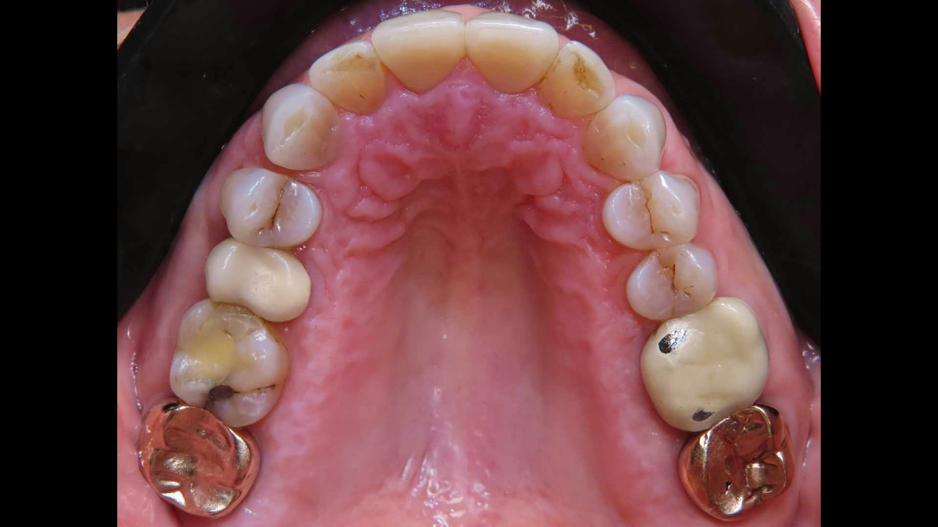
“Mary Ann, is it ok with you if we discuss the general condition of your teeth?” With Mary Ann’s permission, Dr. Emery took intra-oral photos and displayed them on a large monitor so that she could see her own teeth from an outside perspective. Having never seen her teeth in photos like that, she was shocked at what she saw.
Not only did she see the discoloration, she also saw the unevenness of her teeth; she saw significant wear; she saw broken porcelain on crowns; she saw cracks in teeth with large fillings; she saw gold crowns that had holes in them; she saw bumps on the inside of the lower jaw (Tori); she saw gum recession; she saw notched teeth by the gums; she saw fillings placed in some of the notched teeth. This was eye opening for Mary Ann as she was completely unaware of how broken down her teeth were.
Mary Ann is the type of person who, when faced with a problem, wants to get the problem fixed. From the photos, she saw there was a need to fix a problem, and so the conversation evolved into finding a solution to the problem.
Throughout the visit, Dr. Emery discussed the chewing system (jaw joint) and how important it is for the lower jaw to be in a stable position to maintain a healthy dentition. A computer animation was shown to Mary Ann illustrating how the chewing system can become dysfunctional over time, which causes tooth wear, broken teeth and fractures. And as tooth wear gets worse, the jaw joint becomes stretched in its socket (similar to a dislocation), causing a downward spiral of tooth wear, broken teeth and fractures. This process typically takes many years, if not decades, to present. For Mary Ann, “it was very helpful to see how this happened.”
The next animation Dr. Emery showed Mary Ann illustrated how to fix the chewing system. “If you don’t fix the chewing system before the teeth are fixed, then the same problem is going to occur,” stated Dr. Emery. He continued, “the most predictable way to stabilize the jaw joint is through splint therapy.” Simply put, splint therapy utilizes a custom orthotic that stabilizes the jaw joint over time. This is the key to a successful full mouth rehabilitation.
“For me,” said Mary Ann, “wearing the orthotic allowed my jaws to relax and I was the most comfortable I had been in years. It was crazy! I didn’t know that wearing something like this could have such a profound effect on my entire body. I stopped getting the splitting headaches with the occipital neuralgia.”
After the jaw joint is stable and comfortable, the next step is the restorative process. This can be any combination of crowns, veneers, bonding, bridges, implants, etc. For Mary Ann, the restorative process involved placing crowns on her teeth. These crowns were positioned and shaped such that it solved the problems that she initially had.
Mary Ann no longer suffers from occipital neuralgia, which she states has been a life changing event. “Now my teeth are beautiful! I can confidently smile and I am not suffering from debilitating headaches. Thank you, Dr. Emery and Aspen Ridge Dental!”
If you’ve been living around your teeth — avoiding certain foods, hiding your smile, or putting off care because it feels overwhelming — a conversation with Dr. Ben Emery may be the first step forward. A comprehensive consultation at Aspen Ridge Dental can help you understand your options and create a plan designed around you. Visit us at www.aspenridgedental.com and make an appointment today.










